Grace H. Chung, PLLC
Forensic Odontology Consulting Services

MY WORK
Click on photos to zoom and to learn more.
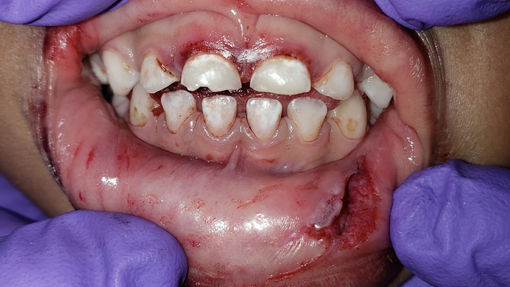
Bitemark/Abuse
Patterned Injury Analysis​
​
A human bitemark often creates a patterned injury that is marked by several class and individual characteristics. It is the forensic odontologist's duty to explain the nature, value, and limitations of bitemark evidence with investigative and legal authorities involved. While a bitemark may not specifically point to the perpetrator, it can serve to exclude suspects and also give contextual evidence involving abuse.
Click on photos to zoom and to learn more.
Identification
Human Identification​
​
The human dentition is one of the most reliable sources of identifying an individual due to the strength of the teeth, resistance to heat, and the unique features of teeth either due to pathology, growth or previous dental treatment. Odontologists also play a large role in mass disaster situations as part of an interdisciplinary team to identify victims as expediently as possible.
Click on photos to zoom and to learn more.
Age Assessment
Dental Age Assessment
​
Assessing tooth development to estimate age of living subjects is often used to estimate the biological age of children adopted overseas where the source of information is unreliable or inaccurate. Most recently, age assessment requests have become more common for asylum seekers to determine if they have reached the age of 18 from the Department of Immigration. In the event of the finding of an unknown body suspected to be a child, age assessment is always a valuable resource to contribute to the investigation to make a match between the remains and a potential missing child.
Click on photos to zoom and to learn more.














